TRANSPLANTE DE CÓRNEA

La cornea es una capa transparente en la parte anterior del ojo. El trasplante de córnea es la operación por la cual se reemplaza la córnea enferma (vale decir que ha perdido su
transparencia) por la córnea de un donante.

Existen dos tipos de técnica para el trasplante de córnea, injerto penetrante en donde se extrae el botón corneal completo y es reemplazado por cornea sana o el injerto lamelar en donde se realiza una disección parcial de la córnea enferma y es reemplazado por tejido
corneal donante dejando el endotelio corneal del receptor lo cual permite una más rápida recuperación y menor índice de complicaciones post quirúrgicas. Esta última es la indicada en los casos que la patología de la córnea receptora lo permite.

SÍNTOMAS Y DESCRIPCIÓN
Una de las enfermedades más comunes que requiere trasplante de córnea es el queratocono. En estos casos la córnea pierde su característica esférica y toma una forma cónica, deformando las imágenes que llegan al fondo del ojo. El lente de contacto que se usa habitualmente para mejorar la visión no siempre es tolerado, con el tiempo puede lesionar la parte del cono lo que hace necesario un trasplante de córnea.
Existen otras causas, menos frecuentes, de opacificación de la córnea: cicatrices como consecuencia de heridas, infecciones o quemaduras, acumulación de líquido anormal, edema de córnea por enfermedad de alguna de las capas que la componen.

TRATAMIENTO
Luego de un examen clínico general del ojo, el paciente se debe anotar en las instituciones oficiales que regulan la donación de ese tejido, u obtenerlo en bancos de ojos de otros países. Las corneas donadas están estudiadas sobre los antecedentes del donante, hepatitis, sida. Pueden ser conservadas hasta 10 días en líquidos especiales de cultivo de tejidos la cirugía se realiza en forma programada

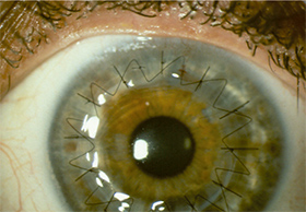
CIRUGIA
En un trasplante, la córnea dañada es removida y reemplazada por otra sana y transparente. Luego, la córnea donante es suturada al ojo receptor. La cirugía se debe realizar en la sala de operación previo examen clínico general y control cardiológico, con anestesia general o local con presencia de cardiólogo. El paciente puede retirarse el mismo día o permanecer por un corto periodo en observación.

El día del alta del post operatorio inmediato será advertido de los siguientes consejos para su cuidado y medicación:
- Previo lavado de manos;
- Uso de las gotas oculares como fue prescripto; -
- Ser cuidadoso en no frotar o presionar sobre el ojo trasplantado;
- No realizar ejercicios físicos;
- Uso de protectores oculares;
- Preguntar a su oftalmólogo cuando puede comenzar a conducir;

Su médico decidirá cuándo podrán removerse los puntos de la sutura dependiendo del grado de cicatrización.

Usualmente, estos son removidos luego de varios meses después de la cirugía (a partir de los 9 a 12 meses aproximadamente).

Complicaciones:
Estadísticamente, los trasplantes de córnea presentan muy bajas posibilidades de rechazo, cuando estamos frente a un rechazo, la visión se nubla y se deteriora.
El éxito de esta intervención supera el 95%.
Los signos de alertan de un rechazo corneal son:
- Excesiva sensibilidad ocular.
- Enrojecimiento anormal.
- Disminución de la visión.

Cualquiera de estos síntomas deben ser informados de inmediato a su oftalmólogo, tratado inmediatamente el rechazo se revierte.

La visión puede ir mejorando hasta varios años después de la cirugía. El éxito de la cirugía es la suma del cuidado y atención tanto del paciente como del oftalmólogo. A su vez, ninguna otra cirugía nos puede ofrecer un resultado mejor cuando la córnea está dañada. La mayoría de las personas que han superado un
trasplante corneal están muy felices de recuperar la visión y son quienes más promueven la donación de
órganos.

El trasplante de córnea no podría ser posible sin los cientos de miles de generosos donantes y en especial de la familias, pues podemos decir no se pueden comprar ni fabricar y la donación es un acto de generosidad que deben ejercer los familiares de acuerdo a la ley presunta.