DEGENERACIÓN MACULAR

La mácula es el área situada en el centro de la retina responsable de la visión central, lectura y visión de los detalles y colores. El resto de la retina también contribuye en forma muy importante para la visión, campo visual y visión nocturna.
En las enfermedades maculares se afecta su estructura anatómica produciendo consecuentemente alteraciones en la visión.


La más común es la degeneración macular relacionada con la edad aunque pueden existir otras causas como ser la diabetes, alteraciones congénitas, infecciosas, traumáticas, y alta miopía .

SÍNTOMAS Y DESCRIPCIÓN
El paciente puede notar una disminución de la visión o visión borrosa central, las líneas rectas
pueden aparecer torcidas, inclinadas o desaparecer en algún punto; por ejemplo al mirar los
marcos de las puertas, ventanas o rejas. Otro síntoma puede ser que durante la lectura
desaparezcan algunas letras en el renglón.
Si bien afecta generalmente a los dos ojos, puedo no hacerlo al mismo tiempo; por lo cual si
solamente está afectado un ojo, la degeneración de la mácula puede pasar casi inadvertida en sus etapas iniciales.
A pesar de que la degeneración macular reduce la visión central, generalmente no afecta la
visión lateral. Por ejemplo, usted puede ver la silueta de un reloj, pero no puede decir qué
hora es. La degeneración macular no causa ceguera total, ni dolor.

Un examen sencillo que debe hacer periódicamente un
paciente con degeneración macular es el test de Amsler
(observación periódica de un cuadriculado con los anteojos
de cerca siempre en el mismo lugar, con la misma
iluminación, alternando un ojo y luego el otro. El paciente debe establecer si las líneas se deforman o si se pierde la visión central).





La degeneración macular relacionada con la edad es la más frecuente dentro de la enfermedades maculares y afecta a personas de más de 60 años de edad. En ella existen 2 tipos principales:

Degeneración macular seca o geográfica
Es la más común, cerca del 90%. Puede ser precedida por alteraciones en la mácula como drusen (acúmulo de sustancias de lípidos y otras que se interponen en las capas de la retina y la alteran) y /o cambios pigmentarios.
Esta lesión en general no es evolutiva, y el paciente debe controlar su salud general especialmente el llamado síndrome metabólico.

Degeneración macular exudativa o húmeda
La retina está protegida por un tejido tenue que la separa de los vasos sanguíneos coroideos que irrigan el fondo de ojo: en esta enfermedad los vasos atraviesan dicho tejido que separa la coroides de la retina produciendo acumulación de fluídos, edema, rotura de las capas de la retina y hemorragias.
Este mismo tipo de cambios también puede producirse en otras enfermedades maculares, sean congénitas, infecciosas, inflamatorias, relacionadas a alta miopía, y otras menos frecuentes.

COMO SE DEBE ESTUDIAR ESTA ENFERMEDAD:
El enfermo debe hacer un examen clínico completo y oftalmológico y de acuerdo al resultado obtenido el médico podrá solicitar los siguientes estudios complementarios:
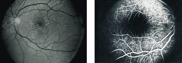
La retinofluoresceinografía, que consiste en una inyección de una sustancia de contraste que una vez dentro del torrente sanguíneo muestra la circulación tanto normal como anormal de la retina.

La autofluorescencia que consiste en una fotografía del fondo de ojo con filtros especiales que permite detectar sustancias anormales y evaluar el desarrollo de la enfermedad.




Retinofluoresceinografía Autofluorescencia

La tomografía de coherencia óptica, que por medio de una luz especial
coherente permite estudiar las distintas capas de la retina como si se hiciera
un estudio anatomopatológico.








TRATAMIENTO
En las degeneraciones maculares se debe mantener el estado clínico y metabólico en óptimas condiciones, en especial controlar la presión arterial, colesterol, y realizar una dieta rica en frutas, verduras y pescados.
El cigarrillo es un tóxico que afecta la mácula en forma selectiva, por lo tanto debe ser eliminado.
Los antioxidantes son de utilidad para evitar los procesos degenerativos.
En la forma húmeda la intervención intra vítrea con inyección de drogas que impiden el crecimiento vascular (antiVEGF) ha mostrado ser muy eficaz para controlar, mejorar y evitar muchas veces la progresión de la enfermedad.

Clínica Nano es una organización dedicada a la salud ocular, con una trayectoria de más de 5 décadas, las más altas certificaciones internacionales y las últimas tecnologías mundiales para la prevención, diagnóstico y tratamiento de las enfermedades del ojo. La rehabilitación de ciegos y disminuidos visuales en su Fundación (talleres de computación, cestería, música, cerámica, deporte y movilidad y muchas disciplinas que pueden ser consultadas en la pag web. www.fundacionnano.org.ar